È una branca dell’Odontoiatria che si occupa di trattare le malattie del parodonto, ossia l’insieme di strutture che circondano il dente e lo mantengono saldamente attaccato all’osso: gengiva, legamento parodontale, cemento radicolare e osso alveolare. Le cause delle malattie parodontali sono principalmente batteriche, ma possono essere anche di tipo traumatico e metabolico. Le patologie possono essere: la GENGIVITE e la PARODONTITE.
Come si manifesta una patologia gengivale?
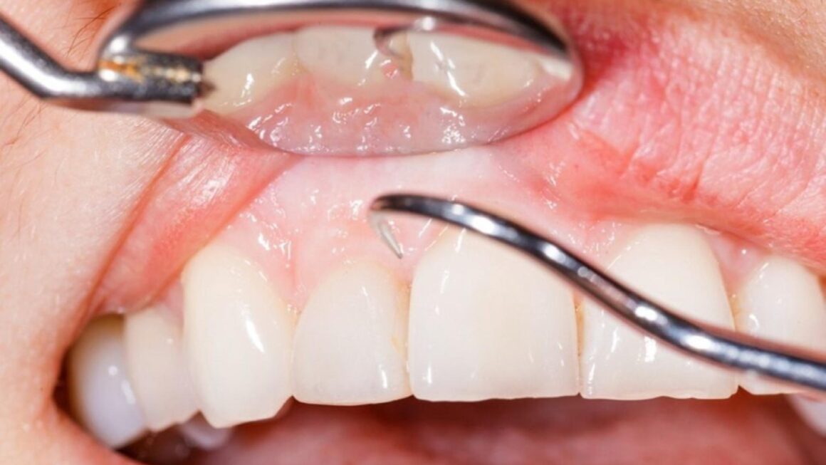
- Gengive infiammate
- Gengive gonfie con una consistenza molle
- Gengive sanguinanti e dolenti
- Cattivo odore o sapore nel cavo orale
- Recessioni gengivali
- Tasche parodontali
Gengive sane: che aspetto hanno?
- Hanno un colorito rosa e una consistenza duro-elastica
- Non sanguinano allo spazzolamento
- Formano archi regolari intorno ai denti
GENGIVITE
La gengivite è una malattia di tipo infiammatorio, provocata da batteri , che colpisce i soli tessuti gengivali. È piuttosto frequente nei bambini ma è facilmente diagnosticabile e curabile. La terapia consiste nell’eliminare la causa della malattia, cioè la placca batterica, grazie ad idonee tecniche di igiene orale ,che verranno indicate dall’odontoiatra, e che permetteranno di porre rimedio alle gengive infiammate e di prevenire una possibile recidiva. Una volta che la placca si è ispessita, trasformandosi in tartaro, l’igiene orale domiciliare non è più sufficiente. In questo caso l’igienista dentale interverrà con una o più sedute d’igiene orale, usando strumenti a mano o a ultrasuoni.
LA PARODONTITE
È una malattia infiammatoria provocata dai microrganismi della placca batterica ed è responsabile della perdita di denti negli adulti nel 70% delle volte circa. Se non curata l’infezione procede in profondità; le gengive infiammate si allontanano dal dente, creando tasche in cui i batteri si accumulano, il tessuto osseo viene distrutto e i denti diventano mobili.
Fattori di rischio Placca batterica, diabete, il fumo, si associano con più frequenza alla comparsa della malattia.
Terapia È indispensabile , per il successo delle cure, il miglioramento dell’igiene orale ed è auspicabile l’abbandono di cattive abitudini, come il fumo, che possono infatti ridurre la possibilità di efficacia delle terapie. I trattamenti parodontali possono essere :
- di tipo non chirurgico, detartrasi e levigatura radicolare, associate nei casi più gravi alla Laser terapia,
- chirurgico e dunque comprendere la terapia di chirurgia resettiva, capace di rimodellare l’osso o la chirurgia rigenerativa, che ricostruisce l’osso andato perduto.
Quindi In base allo specifico quadro clinico che il paziente presenta si sceglie quale protocollo seguire
